Let the best fertility clinic in Hyderabad give you the life you want
Plan B Fertility, Kondapur is considered one of the best fertility centers in
hyderabad beacuse of the following reasons:
15+ Years of Expertise
700+ Successful Pregnancies
800+ IVF Procedures
1000+ IUI Cycles
Affordable Rates
Empathetic Treatment
The best fertility specialist nearby
Director - Chief Consultant Gynaecologist & Fertility Specialist
MS(OBG), FMAS, DMAS
Fellowship in Reproductive Medicine
ART Training in Infertility (Singapore)
Diploma in Gynaecological Endoscopy (Germany)
Previously worked at:
Kamineni Fertility
Oasis Centre for Reproductive Medicine
Yashoda Hospital
Dr Dhatri established Plan B Fertility, a state-of- the-art Fertility Center in Hyderabad, to offer couples with fertility issues an alternate, safe, and affordable way to conceive.
Throughout her illustrious career, she has exemplified her commitment to her patients by setting the right expectations from the start, personalizing fertility solutions to meet specific requirements, and ensuring transparency and comfort at every stage of the treatment.
Dr Dhatri has combined her expertise and cutting-edge technology to make Plan B Fertility a leading Hyderabad fertility center.
After consulting Dr Dhatri, you can end your search for the ‘best fertility hospital near me’
Get evaluated by the leading fertility clinic in Hyderabad
From simple consultations to complex clinical treatments, our comprehensive range of fertility services can help treat both male and female infertility.
Being one of the best IVF centres in Hyderabad, our fertility specialists are well-equipped with the latest know-how and expertise in the field of assisted reproductive technology to ensure the highest level of success rates for our patients.
In IVF, a woman’s eggs are fertilized with the partner’s sperm in the laboratory. It is the most advanced and effective fertility treatment available today.
Plan B Fertility is one of the top IVF centers in Hyderabad. Consult us if you are looking for safe and dependable IVF fertility clinics nearby.
IUI is a procedure in which the processed sperm sample of the partner is placed inside a woman’s uterus through the natural opening of the uterus with the help of a thin tube/catheter at the time of ovulation (egg release).
Plan B Fertility is not limited to just being an IVF clinic in Hyderabad. We also offer an extensive range of other advanced fertility solutions to treat more specific infertility issues.
Once your fertility specialist has diagnosed the probable cause of infertility and thinks a simpler treatment approach is enough for you, they may suggest Ovulation Induction and Timed Intercourse as a treatment option to increase the chances of natural conception.
ICSI treatment is typically part of your IVF cycle. The only difference is how fertilisation is achieved.
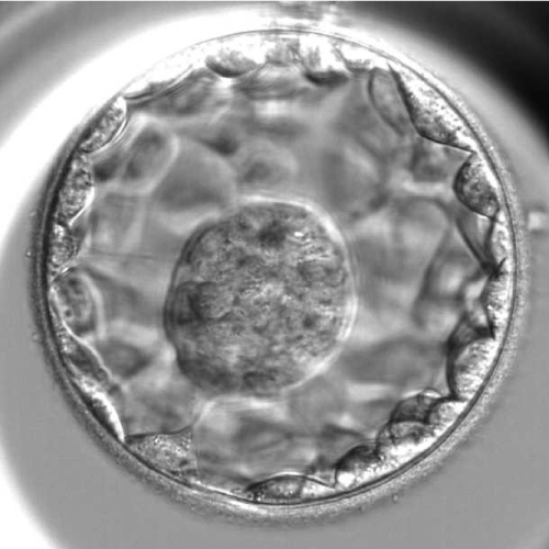
Blastocyst transfer is a strategy in which embryos are cultured to the blastocyst stage before being transferred into the womb during an IVF cycle.
Assisted hatching involves assisting the embryo or the blastocyst to break out of the shell in the IVF laboratory. It is done with the help of a special laser fitted to the microscope.
A frozen embryo transfer commonly referred to as FET, is a process in which the frozen embryos created from a previous fresh IVF or donor egg cycle are thawed and then transferred back into the woman’s uterus.
PGT comprises a wide range of molecular techniques that are utilized during assisted reproduction and IVF treatment for a range of indications before implantation.
An ERA is a diagnostic procedure that may help determine whether the Endometrium is ready for embryo implantation.
MACS is an immunomagnetic technique used in the ART (Assisted-Reproduction Technique) lab to identify and positively eliminate apoptotic / damaged sperms from the semen ejaculate.
Microfluidics is a passive sperm segregation technique used in the ART lab that helps isolate sperm with high motility and better quality more successfully than conventional methods.
Egg donation is a process in which a fertile woman (Donor) donates her eggs to another woman (Recipient ) who does not have healthy eggs or enough eggs for assisted reproduction.
A sperm donor is a man who donates his sperm to help an infertile individual or couple conceive through Assisted Reproductive Technology like IUI, IVF, or, ICSI.
Embryo donation involves transferring embryos created using a donor egg and donor sperm into an infertile patient’s womb to help them conceive.
Egg freezing is an Assisted Reproduction Technology (ART) technique that involves the retrieval, freezing, and storing of a woman’s unfertilized eggs for conception at a later stage of her life.
Sperm freezing is an ART technique that involves the collection, freezing, and storing of a man’s semen for conception at a later stage of his life.
Embryo freezing is an ART technique that involves freezing and storing embryos created via IVF/ICSI for conception at a later stage of one’s life.
Surgical sperm retrieval is a method where sperm is directly collected from the Epididymis of the Testis. That sperm can be used to achieve fertilization of eggs and help men father a child.
Minimally Invasive Surgery (MIS) is a technique where the surgeon performs the surgery through the natural openings of the body or a few small incisions of about half to one centimetre instead of a large incision in traditional open surgery.
The most trusted fertility clinic near me in Kondapur!
Step-1
Take your first step towards parenthood! You can book your appointment by calling us at +91 902-777-88-99.
Step-2
During your first consultation, we’ll ask you a few questions related to your:
This will help us understand the root of the problem.
Step-3
Based on your answers, we may have to recommend a few tests like blood tests, ultrasound, semen analysis, etc.
For your convenience, we have an in-house blood sample collection facility, a high-resolution 2D & 3D ultrasound machine, and an in-house semen collection room that will offer you all the privacy you need.
Step-4
A follow-up appointment will be scheduled at your convenience to carefully analyse your reports and understand the cause of your fertility issues.
Step-5
Based on our evaluation we discuss the appropriate treatment options and offer you a treatment plan that would yield the best possible results.
Step-6
The counsellor and treatment coordinator will help you understand the treatment procedure in detail and explain the financial considerations.
Step-7
Before starting the treatment, we’ll ask you to sign the related treatment consent forms. This is to ensure that you are well informed about the treatment and understand its uncommon but possible associated risks.
Step-8
While some patients may need only one or two treatment cycles to conceive, a few may take longer or require different types of treatments to achieve parenthood.
Step-9
A pregnancy test is recommended after the treatment is completed.
When the patient conceives, we offer follow-up care to ensure the patient crosses the most crucial months of pregnancy.
In the unfortunate event that conception does not occur, all steps of the cycle are re-evaluated by our expert team and another treatment plan is made to improve the chances of conception.
Step-10
We at Plan B understand that going through the infertility treatment process can be quite emotionally taxing.
Our team will be with you throughout this journey- guiding you and helping you overcome all your fears or inhibitions to ensure the best possible results.





















